"Новая Немецкая Медицина. Пять биологических законов" - читать интересную книгу автора (Марголин Кэролайн)

Пять биологических законов

Первый биологический закон

Первый критерий

Каждая СПБ (Важная Специальная Биологическая Программа) включается в ответ на СДХ (Синдром Дирка Хамера), который представляет собой чрезвычайно острый неожиданный изолированный конфликтный шок, разворачивающийся одновременно в ПСИХИКЕ и МОЗГЕ, и отражающийся в соответствующем ОРГАНЕ тела.



На языке ННМ «конфликтный шок» или СДХ описывает ситуацию, приводящую к острому дистрессу — ситуацию, которую мы не могли предвидеть, и к которой мы оказываемся не подготовлены. Такой СДХ может быть вызван, к примеру, непредвиденным уходом или потерей любимого человека, неожиданной вспышкой гнева или сильной тревоги, либо постановкой неожиданно плохого диагноза с отрицательным прогнозом. СДХ отличается от обычных психологических «проблем» и привычных ежедневных стрессов тем, что непредвиденный конфликтный шок вовлекает в процесс не только психику, но также мозг и органы тела.

С биологической точки зрения «неожиданность» предполагает, что неподготовленность к ситуации может приводить к ущербу для захваченного врасплох индивида. С целью оказания помощи индивиду в такой непредвиденной кризисной ситуации мгновенно приводится в действие Важная Специальная Биологическая Программа, предназначенная как раз для такого типа ситуации.

Поскольку эти древние полные смысла программы выживания наследуются всеми живыми организмами, включая людей, ННМ говорит о них в терминах биологических, а не психологических конфликтов.

Животные переживают эти конфликты буквально как таковые, когда они, к примеру, теряют свое гнездо или лишаются занимаемой территории, оказываются отделенными от своей пары или потомства, подвергаются атакам или угрозе голода или гибели.


Горе от потери своей пары


Поскольку мы — люди — способны взаимодействовать с миром как буквальным, так и символическим образом, мы можем претерпевать эти конфликты так же и в фигуральном смысле слова. Например, «конфликт из-за утраты территории» может переживаться нами при утрате дома или потере работы, «конфликт из-за нападения» — при получении обидного замечания, «конфликт из-за брошенности» — при изоляции от  других людей или исключения из своей группы, а  «конфликт из-за страха смерти» — при получении плохого диагноза, воспринимаемого как смертный приговор.

Внимание: некачественное питание, отравления и раны могут приводить к дисфункции(ям) органов и без СДХ!

Вот что происходит в психике, мозге и соответствующем органе в момент проявления СДХ:

На уровне психики: индивид переживает эмоциональный и ментальный дистресс.

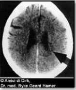
На уровне мозга: в момент проявления СДХ конфликтный шок поражает специфически предопределенную зону мозга. Воздействие шока видно на снимке, полученном методом компьютерной томографии, в виде набора ясно различимых концентрических кругов. В ННМ эти круги получили название очагов Хамера — НН (от немецкого Hamersche Herde). Термин первоначально выдвинули оппоненты доктора Хамера, которые с насмешкой называли эти образования «сомнительными фокусами Хамера».



До того, как доктор Хамер идентифицировал эти кольцевые структуры в мозге, радиологи рассматривали их как артефакты, возникающие в результате сбоев аппаратуры. Однако в 1989 году компания Сименс, производитель оборудования для компьютерной томографии, дала гарантию на то, что эти кольца не могут быть артефактами, созданными аппаратурой, потому что при повторных сеансах томографии эти конфигурации воспроизводятся на том же самом месте при съемках, полученных под любыми углами.


Однотипные конфликты всегда поражают одну и ту же зону мозга.


Точное место образования НН определяется природой конфликта. Например, «двигательный конфликт», который переживается как «невозможность спастись бегством» или «шоковое оцепенение», поражает двигательный отдел коры мозга, отвечающий за управление мускульными сокращениями.

Размер НН определяется интенсивностью переживаемого конфликта. Можно представить себе каждый отдел мозга как кластер нейронов, функционирующих одновременно как рецепторы и трансмиттеры.

На уровне органа: в тот момент, когда нейроны принимают СДХ, конфликтный шок немедленно передается соответствующему органу, и мгновенно активируется «Важная Специальная Биологическая Программа» (СПБ), предназначенная для обработка данного типа конфликта. Биологический смысл любой СБП — это улучшение функций органа, затронутого конфликтом, так, что индивид оказывается в лучшем положении, чтобы справиться с ситуацией и постепенно разрешить конфликт.

Как сам биологический конфликт, так и биологическое значение каждой важной специальной биологической программы (СБП) всегда связаны с функцией соответствующего органа или ткани организма.

Пример: если особь или индивид мужского пола переживает «конфликт утраты территории», то этот конфликт поражает зону мозга, ответственную за коронарные артерии. В этот момент на стенках артерий образуются язвочки (вызывая angina pectoris). Биологическое назначение происходящей при этом потери ткани артерий — расширить русло артерий для улучшения кровоснабжения сердца так, чтобы через сердце в минуту могло проходить большее количество крови, что дает особи больше энергии и предоставляет возможность проявить больший напор в попытке вернуть назад свою территорию (для человека — дом или работу) или занять новую.

Такое осмысленное взаимодействие между психикой, мозгом и органами отрабатывалось природой в течение миллионов лет. Изначально такие врожденные программы биологических реакций приводились в действие «мозгом органа» (таким «мозгом органа» наделено любое растение). С возрастающей сложностью форм жизни развился «головной мозг», который стал управлять и координировать работу всех важных специальных биологических программ (СБП). Эта передача биологических функций головному мозгу объясняет, почему центры, контролирующие в мозге работу органов располагаются в том же порядке, как и сами органы в теле.

Пример: отделы мозга, управляющие скелетом (костями) и поперечно-полосатыми мышцами, явным образом расположены в зоне, называемой cerebral medulla (внутренняя часть мозга под корой).


На этой диаграмме показано, что центры, управляющие черепом, руками, плечами, позвоночником, тазовыми костями, коленями и ступнями, следуют в том же порядке, как и сами органы (конфигурация, напоминающая эмбрион, лежащий на спине).

Биологические конфликты, связанные с костями и мышечными тканями — это «конфликты самообесценивания» (связанные с утратой уважения к себе, ощущениями никчемности и бесполезности).

Вследствие перекрестных отношений между полушариями мозга и органами тела зоны правого полушария управляют органами левой половины тела, тогда как зоны левого полушария управляют органами правой половины тела.



Этот примечательный снимок компьютерной томографии органа запечатлел активный очаг Хамера (НН) на уровне 4-го поясничного позвонка (активный «конфликт самообесценивания»), явно демонстрируя связи между мозгом и органами.

Второй критерий

Содержание конфликта определяет место образования НН в мозге и то, на каком конкретно органе развернется действие СБП.

Содержание конфликта определяется в самый момент проявления СДХ. Как только происходит конфликт, наше подсознание за доли секунды соотносит его с конкретной биологической темой, т. е. «утратой территории», «разором в гнезде», «отвержением со стороны своих», «расставанием со своей парой», «утратой потомства», «атакой противника», «угрозой голода» и т. д.

Если, к примеру, женщина переживает непредвиденное расставание с любовным партнером, это не будет обязательно означать переживание конфликта «расставания со своей парой» в биологическом смысле. СДХ здесь может переживаться как «конфликт брошенности» (который поражает почки), или «конфликт самообесценивания» (поражающий кости и приводящий к остеопорозу), либо «конфликт утраты» (приводящий к поражению яичников). Также, то, что одним человеком будет проживаться как «конфликт самообесценивания», другой человек может переживать как конфликт совсем иного типа. Третьего человека все происходящее, возможно, вообще внутренне не затронет.

Именно наше субъективное восприятие конфликта и чувства, стоящие за конфликтом, определяют, какую часть мозга затронет шок, и соответственно, какими физическими симптомами проявится конфликт в результате.

Один конкретный СДХ может поразить несколько зон мозга, вылившись в несколько «заболеваний», таких как несколько типов рака, ошибочно принимаемых за метастазы. К примеру: мужчина неожиданно для себя теряет свой бизнес, а банк забирает все его активы, у него могут развиться рак кишечника как следствие «конфликта невозможности переварить что-либо» («я не могу этого переварить!»), рак печени вследствие «конфликта угрозы голода» («я не знаю, как мне себя прокормить!») и рак костей в результате «конфликта самообесценивания» (потеря самоуважения). После того, как конфликт оказывается разрешенным, исцеление от всех трех типов рака начинается одновременно.

Третий критерий

Каждая СБП — Важная Специальная Биологическая Программа разворачивается синхронно на уровне психики, мозга и конкретного органа.

Психика, мозг и соответствующий орган представляют собой три уровня одного целостного организма, функционирующие синхронно.

Биологическая латерализация

Наша биологически обусловленная доминантная рука определяет, какое полушарие мозга и какую сторону тела поразит конфликт. Биологическая латерализация определяется в момент первого деления оплодотворенной яйцеклетки. Соотношение между право- и леворукими в обществе составляет приблизительно 60:40.



Биологическая латерализация легко определяется тестовым хлопком ладонями. Та рука, которая сверху — ведущая, и по ней легко видно, кем человек является — правшой или левшой.

Правило латерализации: правши реагируют на конфликт, связанный с матерью или ребенком, левой стороной своего тела, а на конфликт с партнером (любым, кроме матери и ребенка) — правой стороной тела. У левшей ситуация обратная.

Пример: если женщина-правша переживает «конфликт страха за здоровье своего ребенка», у нее развивается рак левой груди. Вследствие перекрестных отношений между мозгом и органами на снимке мозга соответствующий НН будет обнаружен в правом полушарии мозга в зоне, управляющей железистой тканью левой молочной железы. Если бы эта женщина была левшой, такой «конфликт страха за здоровье своего ребенка» привел бы ее к раку правой молочной железы, а компьютерная томография мозга обнаружила бы поражение левой стороны мозжечка.


Определение ведущей руки представляет исключительную важность для выявления первоначального СДХ.